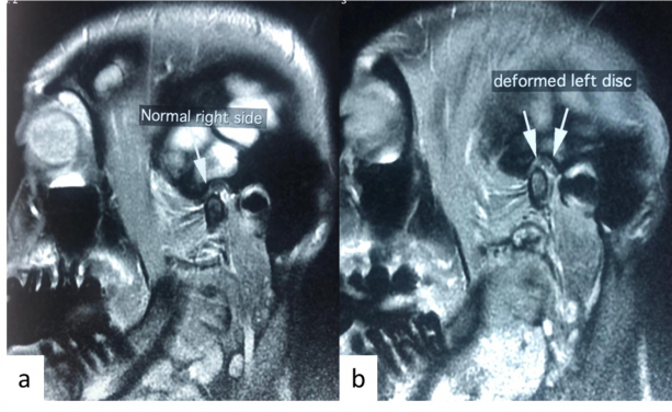
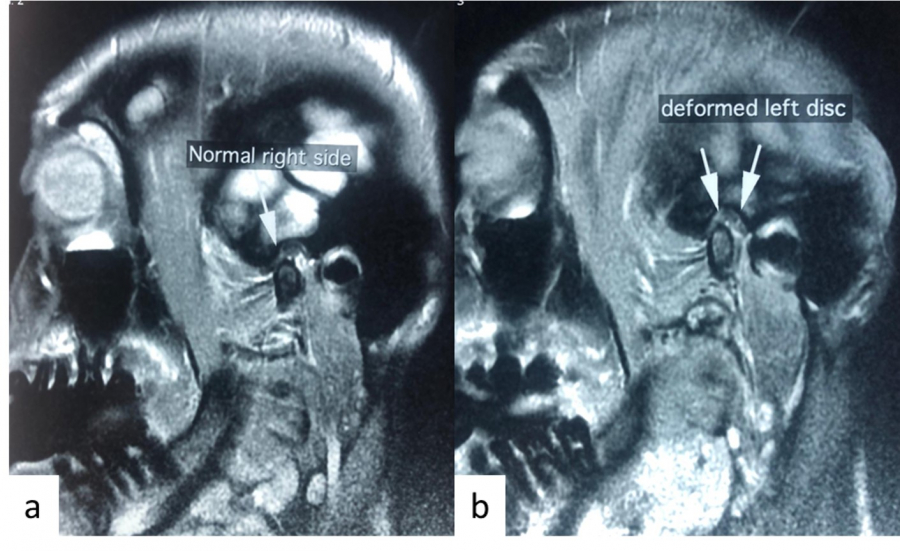
牙骹位於耳朵前方。用手指輕按那處的凹位並開合嘴巴,便會感覺到顳下頜關節(牙骹)移動。牙骹痛源於肌肉或關節問題,前者多因肌肉勞損例如經常嘴嚼香口膠、魷魚絲或果仁等黏韌堅硬食物,或睡覺時有磨牙或咬緊牙關的習慣。後者則有機會是關節軟骨移位發炎導致 -「顳下頜關節綜合症」,其一般症狀乃「開口埋口」說話、吞嚥、打呵欠時感覺牙骹痛,有時會聽到顎骨「卡卡」聲,牙骹不能順暢開合,痛楚可延伸至面部、頭、耳和牙齒等。
根據美國國家牙科和顱面研究所2018年的數據,顳下頜關節綜合症的患病率介乎5%至12%,其中女性患病的機率較男性高兩倍,年輕人患病的比率亦較高。
關節性牙骹痛通常由保守治療開始,例如處方消炎藥、物理治療、進食柔軟食物,和使用咬合夾板(牙膠)減輕關節疼痛和改善張口度。當保守治療效用不顯著時,醫生會嘗試進行顳下頜關節沖洗術的微創療法,方法是在顎關節放入兩枝針,灌入生理鹽水沖洗關節,把發炎物質和纖維組織沖走,減低關節負壓力,亦可注入透明質酸潤滑關節。顳下頜關節沖洗術在90年代起開始普及,其風險低,成功率高達80至85%。
然而,究竟於什麼時候應該由保守治療轉到微創冲洗療法,醫學文獻暫時並未有定論。近年的研究發現,微創冲洗治療若於治療早期介入,能有效消除痛楚和改善顎骨的功能。
香港大學(港大)牙醫學院口腔頜面外科臨床助理教授李廸信醫生(首席研究員)和臨床副教授梁耀殷醫生最近以顳下頜關節沖洗術,配合咬合夾板治療作臨床研究,對比只採用保守治療的成效。
初步的研究結果顯示,沖洗術結合咬合夾板的綜合治療,比保守治療更為有效(附件一)。經過六週的治療,接受綜合治療的病人,在從0分沒有任何疼痛至10分劇烈疼痛的評分表中,疼痛評估方面的指數大幅降低至2.6,而接受保守治療的病人則停留在6.5。在張口度(MMO)方面,一般成年人的最大張口度為35至55毫米,接受綜合治療的病人於第六週能張口平均至正常的40.8毫米,而接受保守治療的病人則只有30.5毫米。
「一般而言,關節性牙骹痛病徵持續出現三個月或以上,會被診斷為慢性痛症,這時已失去早期治療的良機,演變成慢性病,病情更難處理。若把沖洗術作為首要治療的話,便有機會預防病情演變成慢性痛症。」李廸信醫生說。
「根據我們初步的研究數據,早期的沖洗術和咬合夾板的綜合治療能達致更迅速的臨床反應,將會是口腔頜面外科的發展趨勢。」李醫生補充說。
梁耀殷醫生指出: 「我們將繼續推動顳下頜關節沖洗術的研究,以探究其即時的臨床效果和改善慢性病的成效,希望能為患有顳顎關節症的病人提供更適切和精準的治療。」