Media
HKU Dentistry study presents “positive stress” to boost tooth tissue regeneration
30 Aug 2022
Stress is typically thought of as a negative phenomenon, but researchers at HKU Dentistry found “positive stress” that can induce good changes in tooth stem cells to make them more resistant to injury and disease.
The study, published online in the Journal of Dental Research, is the first to show that adaptive mechanisms in tooth stem cells induced by preconditioning to stress can boost the tooth pulp tissue regeneration. The researchers found that oxidative stress caused by low-oxygen environment can elicit a protective response to make tooth stem cells less vulnerable to harm.
When a tooth is damaged, either by serious decay or injury, the living tissue inside becomes exposed to harmful bacteria and vulnerable to infection. Once the tooth pulp tissue is fully infected, current treatment options are limited to either removing the diseased pulp and filling the emptied canal with artificial materials such as rubber and cement or extracting the tooth. When a tooth core is filled with artificial inert materials, the pulp-less tooth dries out over time, becomes brittle and more prone to cracking and re-infection. This could eventually lead to extraction of the tooth and replacement with a prosthesis.
The research team led by Dr Waruna Dissanayaka, Assistant Professor in Oral Biosciences, aims to develop an approach to regenerate the lost tooth pulp which could revitalize the tooth and enable it to function like normal tooth.
Stem cell-based therapeutics has been considered a promising strategy in dental pulp regeneration. However, as the tooth root canal is surrounded by hard dental tissue with a limited blood supply, which creates a harsh environment for the cells with low-oxygen and nutrients, low cell viability after transplantation in vivo remains a critical challenge to researchers.
The research team developed a preconditioning protocol that modified the cells genetically to mimic a responsive state for low oxygen conditions in order to activate a protein that induce adaptive changes in the cells.
Dr Yuanyuan Han, a co-investigator of the team pointed out:"As this protein was reported to activate several key adaptive mechanisms, we wondered whether this phenomenon can be applied to improve cell survival following transplantation until a sufficient blood supply is achieved."
"In our study, we found that these cells activate a metabolic mechanism to produce energy under low oxygen conditions and scavenge harmful metabolites produced in stress conditions.” Dr Han. explained.
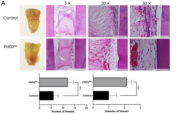
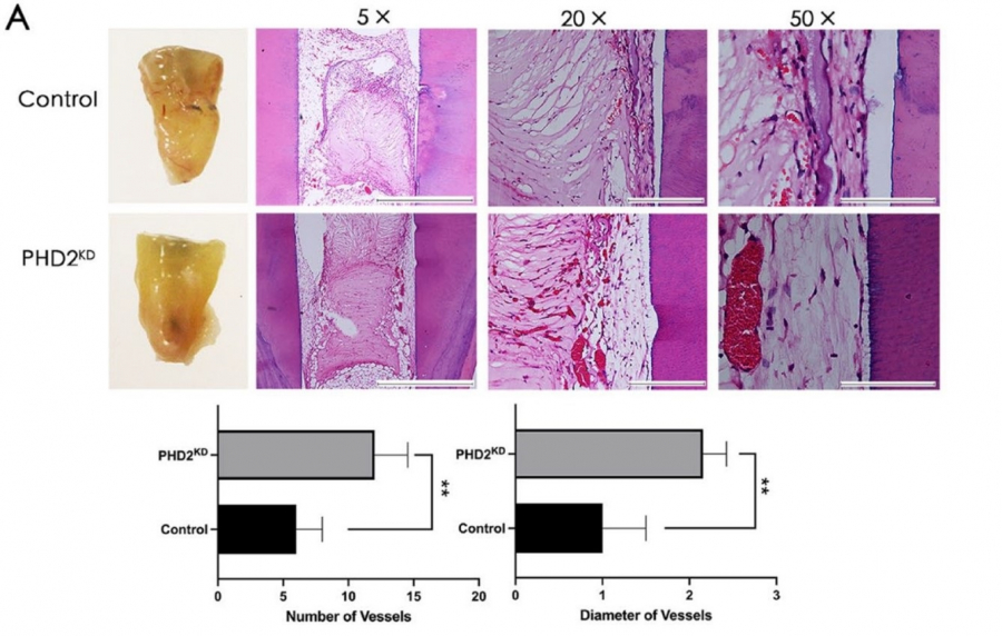
"Interestingly, we also found that preconditioned cells significantly enhanced the dental hard tissue formation within the regenerated pulp tissue." Dr Dissanayaka stated further.
"Former research has revealed that our cells possess number of adaptive mechanisms for stress, which are regulated by several key genes encoded in our DNA that are normally inactive," Dr Dissanayaka said. "If we can activate these genes, downstream expression of specific proteins can prime the cells less vulnerable to injury."
With the help of Dr Mohamad Koohi-Moghadam, Research Assistant Professor in Clinical Artificial Intelligence, the team investigated which genes are activated or repressed during preconditioning and is further working on to characterize the upregulated downstream proteins that make cells resistant to damage.
"Tooth stem cells have an inherent capacity to survive under stress" Dr Dissanayaka emphasized. "Our aim is to find ways to take advantage of this capacity and use positive stress to help regenerate the dental tissues."
Dr Dissanayaka plans to utilize the knowledge of specific genes and proteins responsible for inducing cell survival to identify drugs that can be used in clinical tissue regeneration. He believes these new findings will promote the development of new strategies to enhance the therapeutic potential of tooth stem cells.
The study won the IADR Colgate Research in Prevention Award at the 2022 IADR General Session. This project was funded by the General Research Fund of the Research Grants Council, Hong Kong.
Research Team
Faculty of Dentistry, the University of Hong Kong
Principal Investigator: Dr Waruna Dissanayaka, Assistant Professor in Oral Biosciences Co-Investigator:
- Dr Han Yuanyuan, PhD student in Applied Oral Sciences & Community Dental Care
- Dr Koohi-Moghadam, Mohamad, Research Assistant Professor in Clinical Artificial Intelligence
- Dr Chen Qixin, PhD student in Applied Oral Sciences & Community Dental Care
- Dr Zhang Lili, PhD student in Applied Oral Sciences & Community Dental Care
Periodontics and Oral Medicine, School of Dentistry, University of Michigan
Co-Investigator: Dr Hitesh Chopra, Postdoctoral Research Fellow
Department of Orthodontics, School and Hospital of Stomatology, Cheeloo College of Medicine, Shandong University, Jinan, Shandong, China
Co-Investigator: Professor Zhang Jun
Journal Article: “HIF-1α Stabilization Boosts Pulp Regeneration by Modulating Cell Metabolism” is published on Journal of Dental Research: HIF-1α Stabilization Boosts Pulp Regeneration by Modulating Cell Metabolism - PubMed (nih.gov)
For media enquiries:
Ms Melody Tang, Senior Communications Officer of the Faculty of Dentistry, HKU,
Tel: 2859 0494 / 9155 0980, Email: melodytang@hku.hk