Media
HKUMed finds a drop in public emergency department attendance associated with increased mortality during COVID-19 pandemic;
encourages patients in need to seek emergency care
13 Dec 2021
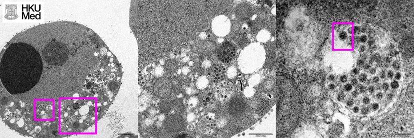
(Left) Low magnification electron micrograph of a Vero (monkey kidney) cell 24 hours after infection with the Omicron variant of SARS-CoV-2. The boxes show clusters of viral particles in the cytoplasm.
(Centre) High magnification electron micrograph of the larger box in the left panel showing aggregates of viral particles in vesicles and on the surface of the cell.
(Right) High magnification electron micrograph of the smaller box in the left panel showing large aggregates of viral particles with spikes (box) in membrane bound vesicles.
Photo credit: Professor John Nicholls, Clinical Professor of Department of Pathology, HKUMed; Professors Malik Peiris, Tam Wah-Ching Professor in Medical Science and Chair Professor of Virology, School of Public Health, HKUMed; Professor Leo Poon Lit-man, Professor and Head of Division of Public Health Laboratory Sciences, School of Public Health, HKUMed; and Electron Microscope Unit, HKU.
High-resolution version of the image is available at: https://bit.ly/3EPkKTx
The Emergency Medicine Unit of LKS Faculty of Medicine, The University of Hong Kong (HKUMed) has combined forces with the Department of Pharmacology and Pharmacy, School of Nursing, Department of Family Medicine and Primary Care, Laboratory of Data Discovery for Health (D²4H), HKUMed and the Hospital Authority to evaluate the effect of the COVID-19 pandemic on emergency care attendance and mortality outcomes. A significant drop in visits to emergency departments was found at 18 public acute hospitals, which was associated with an increase in certified deaths in the first eight months of COVID-19 pandemic. The research team encourages patients in need to seek emergency care promptly; and calls on the government and other related parties to work together to deliver up-to-date health messages, or even adjust the healthcare services to accommodate the dynamic situation. The results have been published in Annals of Emergency Medicine [link to the publication].
Research methods and findings
The COVID-19 pandemic is expected to associate with excess mortality and reduced emergency department attendance. To evaluate such potential correlation, the research team led by HKUMed had conducted a territory-wide study of emergency departments (ED) visits and associated mortality comparing the related impact of COVID-19 pandemic with the previous year. All ED visits at 18 public acute hospitals in Hong Kong between 1 January and 31 August 2019 (pre-pandemic; n=1,426,259); and 2020 (COVID pandemic; n=1,035,562) were included.
The research team found that, ED visits decreased by 27.4% in 2020 compared with the same period in 2019; however, there was a 45% increase in overall period mortality from 2.0% in 2019 to 2.9% in 2020. The increase in likelihood of death was evident in both men and women, those aged more than 45 years, across all risk (triage) categories and social classes. There were also significant increases in mortality among patients with epilepsy, lower respiratory tract infection (pneumonia), airway disease, diabetes, mental disorder, chronic kidney disease, trauma, coronary heart disease, stroke, cancer and sepsis.
‘The causes of the reduced ED attendance and increased mortality are unclear but appear significant to warrant further investigation and research. In the absence of good epidemiological data, we can only suggest a few possible reasons. First, it may be due to public fear of being infected with SARS-CoV-2, of being isolated and quarantined from family and friends or of taking up unnecessary hospital beds. Secondly, government and media messages that emphasise pandemic concern may have discouraged patients from seeking timely and optimal management of their chronic diseases and other health conditions. Thirdly, some might have serious concerns that the public healthcare system would be overloaded, and hence prevented them from visiting the ED. In fact, since the early stages of the pandemic, our local hospitals have actually responded well to the pandemic, with sufficient capacity to manage seriously ill patients,’ said Dr Abraham Wai Ka-chung, Clinical Assistant Professor of Emergency Medicine Unit, HKUMed, who co-led the research.
Significance of the study
'This study shows the spillover effects of the COVID-19 pandemic across different waves, and has provided meaningful implications for governments to identify and support at-risk populations during the pandemic. For instance, high-quality telephone advisory centres or an on-line consultation system could help to triage patients and advise on the necessity of attending an ED, whilst pursuing the policies of social distancing,’ said Dr Carlos Wong King-ho, Assistant Professor of the Department of Pharmacology and Pharmacy, Department of Family Medicine and Primary Care and Laboratory of Data Discovery for Health, HKUMed, who co-led the research.
‘The remarkable achievement of the government and public health policy-makers to contain the pandemic is commendable. Many more lives would have been lost not just from COVID-19, but also other diseases if the healthcare system broke down. However, our data suggests that there were increases in mortality among elderly patients and those with chronic medical conditions, which could be due to delayed presentations and hospital avoidance. While it is important to advise patients on social distancing measures, they should also be educated to recognise the severity of their illnesses, and encouraged to seek appropriate medical advice in a timely manner,’ remarked Professor Timothy Hudson Rainer, Clinical Professor of Emergency Medicine, Head of the Emergency Medicine Unit, HKUMed.
The same research team had conducted a further cohort study focusing more on the emergency admission, length of stay, and in-hospital mortality rate during COVID-19 pandemic from 1 January to 30 November 2020. Results have been published in Influenza and Other Respiratory Viruses [link to the publication].
About the research team
This study was co-led by Dr Carlos Wong King-ho, Assistant Professor of the Department of Pharmacology and Pharmacy, Department of Family Medicine and Primary Care, Laboratory of Data Discovery for Health (D²4H), and Dr Abraham Wai Ka-chung, Clinical Assistant Professor of Emergency Medicine Unit; supervised by Professor Timothy Hudson Rainer, Clinical Professor of Emergency Medicine, Head of the Emergency Medicine Unit, HKUMed. The research team includes Dr Janet Wong Yuen-ha, Associate Professor of the School of Nursing; Miss Xiong Xi, PhD student of the Department of Pharmacology and Pharmacy; Mr Owen Chu Chun-kit, Research Assistant of the Emergency Medicine Unit, HKUMed; Professor Charles Wong Man-sing, Associate Dean and Professor of the Department of Land Surveying and Geo-informatics, The Hong Kong Polytechnic University; Mr Eric Tang Ho-man, Senior Technical Officer of the Department of Family Medicine and Primary Care; Dr Matthew Tsui Sik-hon, Head of Accident & Emergency Department, Deputy Hospital Chief Executive of the Queen Mary Hospital and Honorary Clinical Associate Professor of Emergency Medicine Unit, HKUMed.
Media enquiries
Please contact LKS Faculty of Medicine of The University of Hong Kong by email (medmedia@hku.hk).